什么是主动脉夹层怎么引起的
*** 次数:1999998 已用完,请联系开发者***
患主动脉夹层并非偶然,医生揭秘:患者多与4点相关主动脉夹层来得凶,但并不是“天降横祸”。它更像一条被长期拉扯的旧绳子,在某个清晨、一次用力、一次情绪失控时“啪”然断裂。如何在... 出院后的长期守护做什么? 核心是把主动脉放在“低冲击模式”。家庭血压设定个体化目标,尽量稳定在医生建议范围内;早晚定时监测,尤其留...
ゃōゃ 
主动脉夹层近期呈高发趋势 这4类人群要警惕如何预防?西安交通大学第一附属医院心血管外科副主任医师刘淼淼介绍,寒冷的天气会导致血管收缩,血压升高,特别是高血压患者容易出现血压波动,从而增加主动脉夹层的风险。冬季是心脑血管疾病的高发时期,血压更难控制,特别是高血压患者容易出现血压波动,这也是主动脉夹层的重...

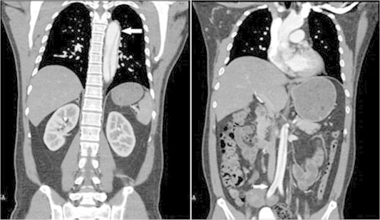
+0+ 阳光融和医院成功救治一例A型主动脉夹层患者其特点是主动脉内膜撕裂后,血液进入主动脉壁内形成夹层,随时可能引发主动脉破裂、心包填塞、急性心肌梗死等致命并发症。 更严峻的是,检查结果显示主动脉夹层累及:主动脉根部、升主动脉、降主动脉至双侧髂血管,右冠状动脉开口、头臂干、左锁骨下动脉、腹腔干等形成夹层及壁...

患主动脉夹层并非偶然,医生发现:此类患者,多与4点相关主动脉夹层来得凶,但并不是“天降横祸”。它更像一条被长期拉扯的旧绳子,在某个清晨、一次用力、一次情绪失控时“啪”然断裂。如何在... 出院后的长期守护做什么?核心是把主动脉放在“低冲击模式”。家庭血压设定个体化目标,尽量稳定在医生建议范围内;早晚定时监测,尤其留意...

警惕!主动脉夹层:胸背痛背后的隐秘致命威胁其中最需要警惕的就是主动脉夹层。这是一种与时间赛跑的紧急情况,往往是高血压患者的无声杀手。 什么是主动脉夹层? 主动脉是人体的主要供血通道,负责将心脏泵出的血液输送到全身。当主动脉内膜因某些原因破裂时,血液会进入血管壁中层形成所谓的“真假腔”。随着病情发展,...

≥ω≤ 主动脉夹层:隐藏在胸背痛背后的致命杀手就是主动脉夹层。这种“时间就是生命”的急症,常常是高血压患者的无声杀手。 什么是主动脉夹层? 主动脉是人体的“主供血管道”,负责将心脏泵出的血液输送到全身。而主动脉夹层指的是,主动脉内膜因某些原因破裂,血液进入血管壁的中层,形成“真假腔...

新研究揭示主动脉夹层发病分子机制新华社东京5月23日电(记者钱铮)一个国际研究团队近日在美国学术期刊《循环研究》上发表论文说,他们通过研究新型主动脉夹层实验鼠模型,初步揭示了这种危险心血管疾病发病的分子机制,研究成果有助于开发针对这种疾病的新疗法。 主动脉夹层是指主动脉壁内膜发生撕裂,血液进入...

˙▽˙ 有一种突发剧烈胸痛叫“主动脉夹层”,患者多有高血压且长期控制不好长沙市第四医院接诊多例突发剧烈胸痛的主动脉夹层患者,年龄在40岁至50岁之间,都存在长期忽视血管健康的情况。什么是主动脉夹层?它的病... 如果累及主动脉瓣或者冠状动脉,容易产生心衰、心肌梗死的症状。保持健康生活方式可降低发病风险如何预防主动脉夹层的发生呢?许顺驰提...

主动脉夹层近期高发!西安一医院两天收治14人!其中12例A型主动脉夹层,2例B型主动脉夹层。患者年龄最大的72岁,所有患者都得到了及时有效的救治。西安交大一附院心血管外科副主任李勇新:“主动脉是从心脏延伸出来的一根给全身供血的大动脉,由内膜、中膜和外膜三层组成,由于高血压等原因导致主动脉内膜受损,当主动脉内膜...

50岁男子主动脉夹层!急救6个不要,2个要!提高生存率主动脉夹层的危险在于它的速度。 一旦撕裂加重,血管可能迅速破裂,导致大量内出血。 数据显示,主动脉夹层发作后24小时内的死亡率高达30... 从根源上降低主动脉夹层的发病率?这些问题值得进一步探索。 对此,您有什么想说的呢?欢迎在评论区留下您的看法! 资料参考 [1]邹慧,尚延忠...

立马加速器部分文章、数据、图片来自互联网,一切版权均归源网站或源作者所有。
如果侵犯了你的权益请来信告知删除。邮箱:xxxxxxx@qq.com
上一篇:什么是主动脉夹层怎么引起的
下一篇:什么是主动脉夹层怎么治疗