癌胚抗原高是什么肺癌_癌胚抗原高是什么肺癌
 ̄□ ̄|| *** 次数:1999998 已用完,请联系开发者***
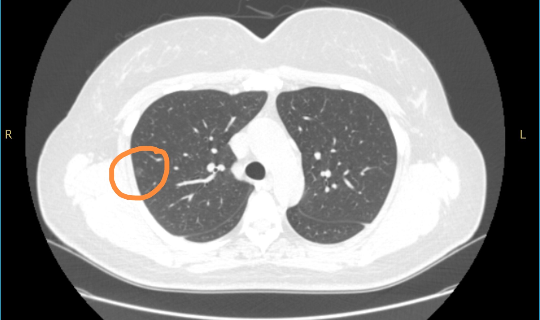
╯﹏╰ 盘点早期肺癌诊断的关键指标,一文全掌握!1. 肿瘤标志物 肿瘤标志物就像是肺癌在身体里留下的“小尾巴”。比如癌胚抗原(CEA),它在很多肺癌患者体内会升高,就像是一个“警报器”。还有神经元特异性烯醇化酶(NSE),对小细胞肺癌有较高的诊断价值,这波监测肿瘤的操作直接封神。不过,肿瘤标志物升高也不一定就得了肺癌...
(#`′)凸 ![]()
常用肿瘤标志物检验降价在即 规范收费助推癌症早诊早治升高可能预示着肺癌风险,癌胚抗原(CEA)在多种恶性肿瘤早期也可能出现异常。但肿瘤标志物单项检测作用有限,往往需要多项联检以提高检出... 围绕糖类抗原测定、癌胚抗原测定、甲胎蛋白测定等10个量大价高、区域价格差异大的肿瘤标志物检验项目,开展了第二批医疗服务价格规范治...

●﹏● 事关癌症早诊早治,这些检验项目降价在即升高可能预示着肺癌风险,癌胚抗原(CEA)在多种恶性肿瘤早期也可能出现异常。但肿瘤标志物单项检测作用有限,往往需要多项联检以提高检出... 围绕糖类抗原测定、癌胚抗原测定、甲胎蛋白测定等10个量大价高、区域价格差异大的肿瘤标志物检验项目,开展了第二批医疗服务价格规范治...

降价在即!癌症诊疗收费将有调整的升高则可能提示肺癌风险,而癌胚抗原(CEA)在多种恶性肿瘤早期阶段亦可能出现异常波动。然而,肿瘤标志物的单项检测其作用毕竟有限,通... 癌症的高发病率和高致死率持续攀升,这一现象给全球公共卫生体系带来了前所未有的严峻挑战。癌症作为一种复杂的疾病,其发病机制多样,涉...

立马加速器部分文章、数据、图片来自互联网,一切版权均归源网站或源作者所有。
如果侵犯了你的权益请来信告知删除。邮箱:xxxxxxx@qq.com
上一篇:癌胚抗原高是什么肺癌
下一篇:癌胚抗原高是什么病