膝盖滑膜炎怎样治疗见效快能彻底
*** 次数:1999998 已用完,请联系开发者***
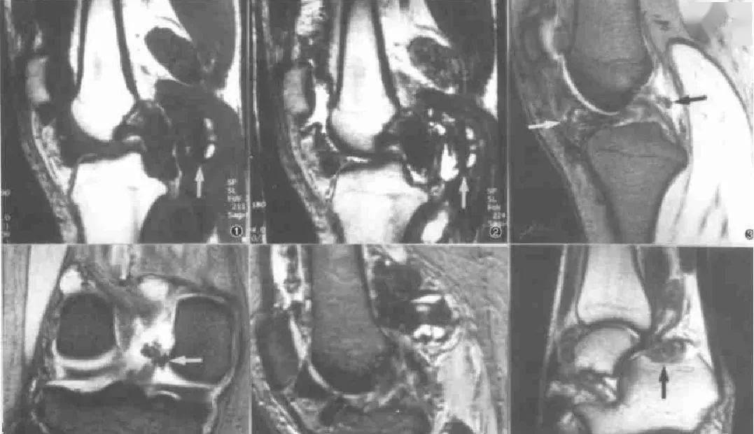
>ω< 儿童膝关节滑膜炎病因及治疗方法大揭秘!儿童膝关节滑膜炎不少见,但由于缺乏典型的临床表现,实验室检查及影像学检查特异性欠佳,致使疾病的性质难以确定,常造成误诊而延迟治疗时... 包括了滑膜组织的病理类型,病程,滑膜组织清除的程度,手术干预的时间,术后康复及药物治疗等。 其中,有学者指出滑膜组织清除的彻底程度最...
(`▽′) 
滑膜炎形成原因及长期不治疗后果揭秘膝关节滑膜炎是一种非常头痛的疾病。 一、滑膜炎的原因是什么: 01、外力损伤 在工作或运动中,一旦不注意安全,膝盖受到外力冲击或扭伤,关节就会肿胀久而久之,就会诱发滑膜炎,如果不能及时得到治疗就会诱发类风湿性关节炎。 02、剧烈运动 有些年轻人,因为经常喜欢更剧烈的运动...
≥ω≤ 
膝盖总疼咋回事?膝关节滑膜炎表现及中西医治疗必看!但当滑膜受到刺激,比如外伤、过度运动、感染等,它就会“发脾气”,开始疯狂分泌关节液,导致关节肿胀、疼痛、活动受限。你就会感觉膝盖又胀又疼,走路都不利索了,这波“捣乱分子”的操作真的很让人崩溃。 那得了膝关节滑膜炎该怎么办呢?咱们先来说说中医治疗方法。中医治疗就...

膝关节滑膜炎具体表现及中西医治疗方法大揭秘!是治疗难治性滑膜炎的标准术式。 目前对于色素沉着绒毛结节性滑膜炎的治疗仍推荐早期外科手术切除,治疗的关键是积极彻底切除病变的滑膜组织,但关节镜具有创伤小、恢复快及并发症少等优势,可能成为PVNS膝关节外科治疗的首选手术方式。 西方医学在治疗这种疾病时,主张采用...

10个膝盖疼,9个有滑膜炎!用什么方法治疗效果好?听医生说得了滑膜炎,真的只能忍着吗? 当膝盖开始疼痛,很多人的第一反应是“忍忍就好了”。但滑膜炎可不是能靠忍过去的病。如果不及时治疗,情况可能会加重,甚至发展成慢性滑膜炎,带来长期的膝盖问题。那么,滑膜炎到底该怎么治呢? 1.休息,是第一步 膝盖疼,不少人会想用热敷、按摩“治标...
![]()
年轻人膝盖疼要不要重视?滑膜炎表现及治疗方法大揭秘!说不定能让你的膝盖“重获新生”。不得不说,中医治疗滑膜炎,真是有一手! 接着讲讲西医治疗方法。西医一般会先让你做个检查,像核磁共振啥的,就像给膝盖做个“高清拍照”,看看里面的情况到底咋样。如果确诊是滑膜炎,轻度的话,医生可能会开点消炎药,就像给膝盖的炎症“泼冷水”...

∩△∩ 膝关节总出问题?一文揭秘滑膜炎表现及中西医治疗干货!这是一种比较激进但有效的治疗方法。西医治疗滑膜炎,针对性强,见效快。 总之,不管是中医还是西医,治疗滑膜炎都有各自的优势。你可以根据自己的实际情况,在医生的指导下选择合适的治疗方法。了解了这些知识,相信你在面对滑膜炎时能更加从容,让你的膝关节少出问题,健健康康地...

拯救中老年膝盖:告别疼痛,重拾活力随着年龄的增长,许多中老年人会出现膝盖疼痛的问题,这给他们的生活带来了很大的困扰。那么,中老年膝盖疼该怎么治疗呢?下面我们一起来了解一下。首先,我们来了解一下中老年膝盖疼的常见原因:1、骨关节炎:这是最常见的原因之一,由于关节软骨磨损、退化导致。2、滑膜炎:滑膜发...

∩△∩ 我国持续提升中医药保障运动健康能力膝关节创伤性滑膜炎、踝关节扭伤等在内的一批中医优势病种、中医诊疗方案,不断提高中医药防治诊疗运动系统相关疾病的能力和水平。同时,积极发挥中医运动养生在健康促进、慢性病预防和康复中的作用。2022年开始,我国启动实施了医体融合强健行动,鼓励中医院教授传统体育项...

案例回顾:行关节穿刺抽液致感染,未尽到注意及告知义务医方担责原告何某某因双膝关节疼痛至被告张某组织检查治疗,医院给予双膝关节内注射药治疗,但原告仍感双膝关节剧痛、肿胀,活动严重受限。次日,原告再次至被告医院复诊,医院给予关节穿刺抽液。 后原告转至某学院附属某人民医院,诊断为“化脓性关节炎、感染性关节炎、膝关节滑膜炎、...

立马加速器部分文章、数据、图片来自互联网,一切版权均归源网站或源作者所有。
如果侵犯了你的权益请来信告知删除。邮箱:xxxxxxx@qq.com
上一篇:膝盖滑膜炎怎样治疗见效快能彻底
下一篇:秒速加速器