粉刺是什么样子图片_粉刺是什么样子图片
时间:2025-11-05 14:50 阅读数:7795人阅读
*** 次数:1999998 已用完,请联系开发者***

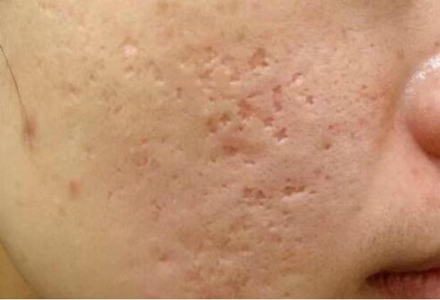
明星无滤镜下的生图,跟普通人没有什么区别,一样有粉刺痘痘在镜头前出现都是一副漂亮灵动的样子,可当在外媒镜头下,这张脸也太真实了!五官区别不大,皮肤却一言难尽,痘痘和闭口是再厚的粉底都遮不住的,生生让颜值掉了3分。 杨紫是正儿八经的“童星”出身,尽管宋丹丹一再劝阻她说:“闺女,你这长相还真不适合娱乐圈。”她也一点没气馁,如...

孩子青春痘总不消,这4个原因要查清有家长在网上焦急求助:自家孩子脸上的青春痘都连续好几年了,可就是总也消不下去,这可愁坏了一家人。相信不少家长也有类似的困扰吧,孩子青春年少,本应是朝气蓬勃的模样,可这满脸不消的青春痘,到底是咋回事呢?难道就只能干着急吗? 很多人觉得吧,青春期嘛,激素一波动,长点痘痘正...

张馨予西藏拍戏晒伤,素颜状态引热议,39岁真实模样太意外谁没有经历过青春痘的困扰呢?谁又没有被强烈的阳光晒红过脸庞呢?一位网友评论说:“看多了过度美化的照片,突然看到这样真实的照片,反而感到更加舒服。” 的确,现在即使是普通人的自拍,也常常会使用美颜功能。有时候照镜子时甚至会觉得,手机里的自己比真实的样子更加漂亮。 ...
?▽? 
立马加速器部分文章、数据、图片来自互联网,一切版权均归源网站或源作者所有。
如果侵犯了你的权益请来信告知删除。邮箱:xxxxxxx@qq.com