喝什么茶对肺结节有疗效_喝什么茶对肺结节有疗效
*** 次数:1999998 已用完,请联系开发者***
茄子是肺结节“发物”吗?肺部健康生活指南来了在日常生活中,人们对食物和健康之间的关系十分关注,尤其是对于一些身体状况的影响。有时候,关于某种食物是否与特定疾病有关的问题会引起疑虑,比如茄子是否与肺结节有关。本文将探讨这个问题,看看茄子是否真的是肺结节的发物。 一、茄子的营养价值: 茄子是一种营养丰富的蔬...
●▽● 医生解读:肺结节对身体的影响多大?正确认识很重要许多人拿到体检报告,目光触及“肺结节”三字便惶恐不安。心中满是疑虑:这神秘的“肺结节”,究竟是何“来头”?会不会发展成肺癌?对身体的影响到底有多大?其实大家不用一上来就焦虑,先搞清楚肺结节的基本情况,正确认识它才是关键。什么是肺结节?简言之,肺结节乃肺部所现之物...

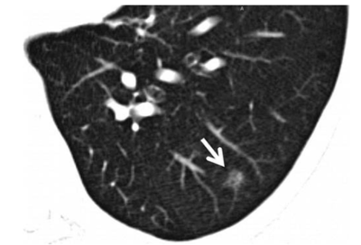
肺部结节是什么?对人体有严重危害吗?随着医学影像技术进步:高分辨率CT普及后,肺结节检出率显著提高,部分健康人(尤其是40岁以上)在体检中可能偶然发现肺结节。就是这些结节,让大家感到困惑,为什么会有结节,这些结节是什么,有什么危害,带着这些疑惑,今天俞医生就给大家来讲一讲关于肺结节的事情。 肺部结节是什么...
⊙0⊙ “有肺结节,身体就不健康”,这结节到底有啥含义?别被谣言误导能减少自由基对肺组织的损伤。同时,避免过量油腻和辛辣,减少对肺部的刺激。保持良好心态,避免过度焦虑心情舒畅有助于神经系统调节和免疫功能,长期焦虑反而可能削弱身体的自我修复能力。肺结节发现后,避免陷入过度恐慌,科学面对才是正道。遵医嘱定期复查肺结节变化,这是健康...

吃橘子对肺部有益?医生:肺病不想成肺结节,多吃这几物或是担心自己有肺结节风险的人,选择适合的食物,能够帮助改善肺部健康,甚至在一定程度上减轻肺结节的形成和发展。 很多人对肺结节并没有... 请及时咨询专业医生 关于保护肺部健康您有什么看法?欢迎评论区一起讨论! 参考资料: [1]宋闯,赵新妍,刘佳炜,等.中医药治疗肺结节研究进展[J...
ˇ﹏ˇ 体内有“肺结节”的人,3种“发物”要少碰,忍住不吃就是赢对于有肺结节、慢性疾病的人来说,长期吃这些加工食品,反而会让身体变得“火气大”、免疫力变差,对肺健康极为不利。正确的饮食思路是什么?其实,肺结节不是“吃出来的”,但合理饮食能帮助我们维持良好的身体环境。简单来说,少吃腌熏食品、少吃辛辣刺激、多吃新鲜蔬菜水果、...
![]()
中国肺结节人数增多,从肺结节到肺癌究竟有多远?肺结节的检出率显著上升。越来越多的年轻人,无症状确诊肺癌案例,也让更多人开始审视体检报告上的“结节”二字。肺结节究竟是什么?它与... 既保留传统疗效,又提升成分稳定性。 可通过补中益气,镇静安神,调畅气血,改善人体的血液微循环,从而避免因人体气血疏通不畅造成的代谢受...

医生郑重提醒:肺部有结节,身上这4个表现千万别忽视!而这些情绪也会对结节的发育产生不良影响。所以,肺结节患者也要少喝这些饮品。 除了饮食方面的误区,还有一些常见误区需要注意。上海市肺科医院呼吸内科副主任医师胡洋医生提醒,肺结节在多数情况下,是无法完全消除的。如果有人信誓旦旦地和你说,吃什么东西可以消结节,那大多...
肺结节随访复查有黄金时间点?错过真会误大事?必看!你有没有过这样的经历,体检发现肺结节后,瞬间感觉头上像悬了一把剑。医生让定期随访复查,但具体什么时候去复查,你完全摸不着头脑,心里一直犯嘀咕,生怕错过什么关键时间点,导致病情恶化。这迷茫的感觉,就像在黑暗中走路,找不到方向。 那么问题来了,肺结节随访复查的黄金时间点...
咱国家的 AI 辅助诊断工具进了基层医院,肺部结节误诊率降了 30%!旁边弹出一行字:“考虑良性结节,建议随访”。“这玩意儿是真顶用啊。” 王医生嘴里嘟囔着,顺手端起桌边的搪瓷杯喝了口茶。他在乡镇医院干了快二十年,以前看肺结节片子,经常得把片子举到灯光下反复瞅,生怕漏了什么。有次一个病人的结节都快发展成肺癌了,他愣是没看出来,后来...

立马加速器部分文章、数据、图片来自互联网,一切版权均归源网站或源作者所有。
如果侵犯了你的权益请来信告知删除。邮箱:xxxxxxx@qq.com
上一篇:喝什么茶对肺结节有疗效
下一篇:喝什么茶对肺结节有消除作用