什么是主动脉夹层呢_什么是主动脉夹层呢
*** 次数:1999998 已用完,请联系开发者***

患主动脉夹层并非偶然,医生揭秘:患者多与4点相关入院路上,胸口像被撕开一道口,痛势一路向背、向腹蔓延;有人却以为是胃痉挛、肌肉拉伤,耽误了最佳处置。主动脉夹层来得凶,但并不是“天降... 出院后的长期守护做什么? 核心是把主动脉放在“低冲击模式”。家庭血压设定个体化目标,尽量稳定在医生建议范围内;早晚定时监测,尤其留...

主动脉夹层近期呈高发趋势 这4类人群要警惕他们就接诊了13位主动脉夹层患者,而全院范围内收治的A型、B型及复杂型主动脉夹层患者数量更是远超这个数字。主动脉夹层到底是一种什么病?为什么它会在近期“扎堆”出现?主动脉夹层是什么病?主动脉是从心脏延伸出来的一根给全身供血的大动脉,由内膜、中膜和外膜三层组成...
+﹏+ 
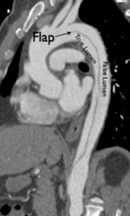
阳光融和医院成功救治一例A型主动脉夹层患者其特点是主动脉内膜撕裂后,血液进入主动脉壁内形成夹层,随时可能引发主动脉破裂、心包填塞、急性心肌梗死等致命并发症。 更严峻的是,检查结果显示主动脉夹层累及:主动脉根部、升主动脉、降主动脉至双侧髂血管,右冠状动脉开口、头臂干、左锁骨下动脉、腹腔干等形成夹层及壁...

≥0≤ 患主动脉夹层并非偶然,医生发现:此类患者,多与4点相关入院路上,胸口像被撕开一道口,痛势一路向背、向腹蔓延;有人却以为是胃痉挛、肌肉拉伤,耽误了最佳处置。主动脉夹层来得凶,但并不是“天降... 出院后的长期守护做什么?核心是把主动脉放在“低冲击模式”。家庭血压设定个体化目标,尽量稳定在医生建议范围内;早晚定时监测,尤其留意...

警惕!主动脉夹层:胸背痛背后的隐秘致命威胁前言: “医生,我的背痛得厉害!”在急诊室里,这样的情景并不罕见。然而,对于急诊医生而言,这种症状背后可能隐藏着多种疾病,其中最需要警惕的就是主动脉夹层。这是一种与时间赛跑的紧急情况,往往是高血压患者的无声杀手。 什么是主动脉夹层? 主动脉是人体的主要供血通道,负责将...

主动脉夹层:隐藏在胸背痛背后的致命杀手前言: “医生,我背痛得厉害!”急诊科里,类似这样的患者并不少见。但对于一名急诊医生来说,这背后可能隐藏着无数种疾病,其中最需要警惕的,就是主动脉夹层。这种“时间就是生命”的急症,常常是高血压患者的无声杀手。 什么是主动脉夹层? 主动脉是人体的&ld...

˙^˙ 有一种突发剧烈胸痛叫“主动脉夹层”,患者多有高血压且长期控制不好长沙市第四医院接诊多例突发剧烈胸痛的主动脉夹层患者,年龄在40岁至50岁之间,都存在长期忽视血管健康的情况。什么是主动脉夹层?它的病因及高危因素有哪些?出现什么情况要警惕主动脉夹层?长沙市第四医院介入血管外科主任、主任医师许顺驰进行了详细解答。主动脉夹层患者...

主动脉夹层近期高发!西安一医院两天收治14人!来源:陕西都市快报冬季受低温影响主动脉夹层的发病率也随之上升1月20日,记者了解到,从1月18日到19日两天时间,西安交大一附院心外科、手术麻醉部等多个科室医护团队连轴奋战,在48小时内连续成功抢救14例主动脉夹层患者,其中12例A型主动脉夹层,2例B型主动脉夹层。患者年龄...

新研究揭示主动脉夹层发病分子机制一个国际研究团队近日在美国学术期刊《循环研究》上发表论文说,他们通过研究新型主动脉夹层实验鼠模型,初步揭示了这种危险心血管疾病发病的分子机制,研究成果有助于开发针对这种疾病的新疗法。
>ω< 
o(?""?o 50岁男子主动脉夹层!急救6个不要,2个要!提高生存率从根源上降低主动脉夹层的发病率?这些问题值得进一步探索。 对此,您有什么想说的呢?欢迎在评论区留下您的看法! 资料参考 [1]邹慧,尚延忠,李向红,等.高龄老人主动脉夹层破裂猝死一例[J].中华老年心脑血管病杂志,2004 声明:文章内容仅供参考,故事情节纯属虚构,意在科普健康知识,如...
立马加速器部分文章、数据、图片来自互联网,一切版权均归源网站或源作者所有。
如果侵犯了你的权益请来信告知删除。邮箱:xxxxxxx@qq.com
上一篇:什么是主动脉夹层呢
下一篇:什么是主动脉夹层原理